インプラント治療とは、虫歯や歯周病の進行などにより歯を失った場合、歯が抜けた場所の歯槽骨にインプラントと呼ばれるチタン製の人工歯根(インプラント体)を埋め込み、その上に人工の歯や義歯を装着することで、失った歯の機能を補う治療法です。
永久歯は失うと二度生えてくることはありません。
インプラント治療は、なくなった歯が一本の場合から、全てなくなった場合まで幅広い症例において有効です。インプラントと顎の骨が直接結合しているため、天然の歯とほとんど変わらない感覚で物を噛んだり、会話を楽しむ事ができ、見た目にも綺麗です。入れ歯やブリッジなどの治療法と違い、残っている歯を削ったり余計な負担をかけないため、ご自身の歯を長く持たせる事ができます。
また、他院で「骨が少ない」という理由でインプラントを断念された方のために、骨の再生を促す骨造成にも対応しています。インプラントを諦めていた方も、ぜひ一度ご相談ください。
入れ歯・義歯 |
|
|---|---|
| 噛む力 | 硬いもの等は食べにくく、 総入れ歯は力がとても弱い |
| 歯の損傷 | 持続的に顎の骨が吸収される |
| 治療期間 | 1ヶ月~3ヵ月程度 |
| 寿 命 | 3~4年周期に修理・交換 |
ブリッジ |
|
|---|---|
| 噛む力 | 歯の周囲の骨に負担がかかり 噛む力が弱く、徐々に低下 |
| 歯の損傷 | 健康な歯を削る |
| 治療期間 | 1ヶ月未満 |
| 寿 命 | 5~10年周期に交換 |
インプラント |
|
|---|---|
| 噛む力 | 顎の骨を健康な状態で維持し、 天然歯と同じように噛める |
| 歯の損傷 | 持続的に顎の骨が吸収される |
| 治療期間 | 3ヶ月~6ヵ月程度 |
| 寿 命 | 定期的なメンテナスで半永久的 |
堺筋本町駅や本町駅すぐの歯医者はやし歯科ほんまち院では、患者様に安心してインプラント治療を受けていただくために、カウンセリングから治療まで全て完全個室で行います。周囲の音も気にせずじっくりお話を重ね、どんな些細な疑問も全て解消して不安なく安心してインプラント治療を受けていただきます。
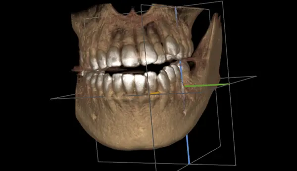
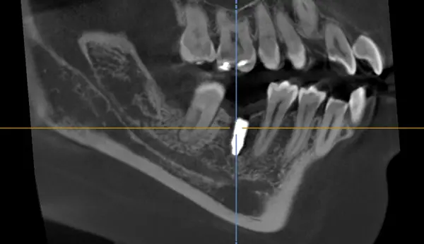
インプラント手術を受けていただく全ての患者様に、術前にC Tを撮影します。患者様の骨の形や神経・血管の走行などを正確に把握し綿密に計画を立てて、安全にインプラント処置を行います。
術前に患者様のお口の中を徹底的にクリーニングします。プラークを除去し、口腔内細菌数を極力減らしてから手術を行う事で、術後感染を予防し、インプラント治療の成功率を上げます。
当院には、インプラント専門医というインプラント分野に特化した知識・技術を有している歯科医師が在籍しております。他院様で難しいと診断されたインプラント症例にも対応しておりますので、難症例でインプラントを断念された方もお気軽にご来院ください。
当院では徹底した衛生管理を行なっております。使用する器具はそれぞれ個包装し、最も厳しい基準をクリアしたクラスBのオートクレーブ(高圧蒸気滅菌器)を用いてあらゆる細菌を確実に滅菌します。
当院ではインプラントに特化した検査・清掃を行い、ホームケアを提案させていただきますので、
定期的にメインテナンスを受けていただき、インプラントの寿命をより長く保っていただく事ができます。
インプラント治療をするにはまずは現在の状態の診査が必要です。診査には視診、レントゲン診査、CTによる診査、模型による診査があります。
診査の後、歯周病や虫歯のある方は、まずはその治療をしなくてはなりません。この時点で保存できない歯は抜歯することになります。(ケースによってはあとで抜歯する場合もあります)
堺筋本町駅や本町駅すぐの歯医者はやし歯科ほんまち院の手術はコンピューターによるガイドシステムに基づき進めます。(すべての症例に用いるわけではありません)患者様に合った穴の位置・角度・深さをコンピューターで割り出し、その通りに手術をするための補助装置(サージカルガイド)を使ってインプラントを埋めるため、傷が少ないのが特徴です。局所麻酔で行い、所要時間は1時間~2時間程度です。
埋入手術(1次手術)から1週間~10日後(場合によっては3〜6ヶ月後)、歯肉の下に隠れているインプラントを2次手術で歯ぐきの上にインプラントの頭が出るようにします。この手術は1次手術よりも時間はかかりませんし、切開する範囲も狭いです。ここでインプラントにヒーリングアバットメントと呼ばれる歯肉を貫通する長さのネジをとりつけます。
埋入手術(2次手術)より約2週間後、顎の骨とインプラント体の結合を待って、歯型を取ります。ここで採取した精密な印象をもとにインプラントに被せる人工の歯を作製します
アバットメントという支台をインプラントに装着し、STEP5で採取した歯型から作製した人工の歯をさらに装着します。
終了後もインプラント周囲の炎症をおこさないよう、定期的なメインテナンス(1~3ヶ月)を続けていきます。
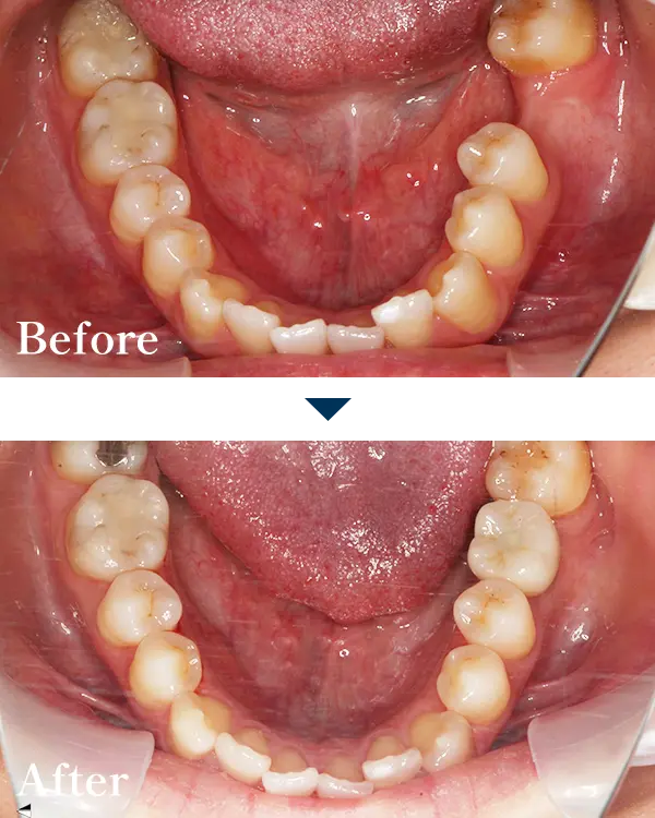
| 主訴 | 奥歯がないので、歯を入れたい |
|---|---|
| 治療内容 | 左下6番にインプラントを埋入し、 ジルコニア上部構造で治療 |
| 治療期間 | 550,000円(税込) |
| 標準費用【自費】 | 約4ヶ月 |
| リスク・副作用 |
|
「骨が少ないからインプラントはできません」と他院で言われ、治療を諦めてしまった方もご安心ください。骨造成という技術によって、インプラント治療が可能になる場合があります。
骨造成とは、骨を移植したり再生を促したりして、顎の骨をインプラントを埋め込める状態まで回復させる治療法です。これにより、従来は難しかった症例でもインプラント治療が行えるようになります。
堺筋本町駅や本町駅すぐの歯医者はやし歯科ほんまち院では、この骨造成にも対応しております。骨の量の問題でインプラントを断念されていた方も、ぜひ一度ご相談ください。
GBRはGuided Bone Regenerationの略で骨誘導再生法と呼ばれる骨を増やす方法の一つです。インプラント治療には十分な骨量が必要です。骨が少ない場合には骨を増やす必要性があります。GBRとは、インプラント治療において、十分な骨の量がない場合に用いられるテクニックです。
例えば、インプラントを埋め込む際に、表側の骨の量が足りない場合、メンブレンと呼ばれる特殊な膜で、骨を作りたい場所を覆います。骨をつくる場所には、人工の骨補填剤を入れておきます。そこに、骨芽細胞は集まり、骨ができます。
メンブレンの設置完了後は、歯肉を元に戻して骨の再生を待ちます。この期間、必要以上の刺激を与えないよう治癒を待ちます。
サイナスリフト法とは、上顎にインプラント(人工歯根)を挿入する場所を確保するため、骨が薄い部分の上顎洞に自家骨や骨補填剤を置き、そこに骨を作顎の骨量を増す治療法です。上の歯のすぐ上には上顎洞と呼ばれる空洞があり、その上顎洞までの骨が薄く上顎にインプラント(人工歯根)を埋入できない場合に行います。
サイナスリフト法には移植骨の生着を待ってからインプラント埋入を行う方法と骨移植と同時にフィクスチャーを埋入する方法とがあります。
骨移植と同時にインプラントを埋入する方法は治療期間が短縮され、手術回数が減って患者様の負担が少ないという 利点はありますが、移植骨の生着を待ってからインプラントを埋入する方法と比べるとインプラントの成功率は劣り、適切な方向へインプラントを埋入するのが難しくなります。
サイナスリフトは「外科的侵襲が大きい」・「治療期間が長い」ことがデメリットですが、インプラントの成功率が高いことがメリットです。
上顎洞側壁骨の相当部の歯茎を切開し、骨に窓を開けて骨片を下から内側に押し上げて上顎洞底部の粘膜を拳上します。次に拳上して出来たスペースに移植材を入れます。移植材を入れた後、外側を特殊な膜で被い歯肉を縫合して6ヵ月間置いて、造骨を待ちます。
上顎洞下のインプラント埋入時における骨造成としてソケットリフトと呼ばれる手法が存在します。
頬骨の奥に存在する上顎洞と呼ばれる空洞に骨移植材を充填して、上顎の骨に厚みを加えるテクニックです。
ソケットリフト法は骨を増やす量に限界があるため、比較的ご自身の骨の量がある場合に用いられる手法です。
インプラント体の埋入する穴から移植骨や骨補填材を補填する為、低侵襲で安全に上顎洞の底部分を押し上げることが可能です。また、切開箇所の治癒や骨が仕上がる期間を待つ必要がないので、骨造成とインプラント埋入手術を同時に行う事ができ、その他の骨造成よりも治療期間が短くなるメリットもあります。
具体的な治療内容は、まずインプラントを埋入する位置に、ドリルを使用し上顎洞と骨の間に厚さ約1mm残しながら孔を開けます。ドリルの先にある上顎洞まで貫通させるのではなく、貫通する直前でドリルをストップさせる形になります。そこから専用の器具(オステオトーム)で槌打し、徐々に衝撃を加えながら、上顎洞粘膜に覆われている上顎洞を押し上げていきます。押し上げたスペースに移植材を填入し、インプラントを埋入して終了です。

| 診療時間 | 月 | 火 | 水 | 木 | 金 | 土 | 日 |
|---|---|---|---|---|---|---|---|
| 9:30 ~ 13:00 | 〇 | 〇 | 〇 | / | 〇 | ◆ | / |
| 14:30 ~ 19:00 | 〇 | 〇 | ● | / | 〇 | / | / |
【休診】木曜/日曜/祝日 ●=14:30−18:00 ◆=9:30−14:00
※最終受付時間は終了30分前
診療時間
| 月 | 火 | 水 | 木 | 金 | 土 | 日 | |
|---|---|---|---|---|---|---|---|
| 9:30 ~ 13:00 | 〇 | 〇 | 〇 | / | 〇 | ◆ | / |
| 14:30 ~ 19:00 | 〇 | 〇 | ● | / | 〇 | / | / |
●=14:30−18:00 ◆=9:30−14:00
※最終受付時間は終了30分前
【休診】木曜/日曜/祝日